
日本品質,彩超規格,黑白機價格
https://www.youtube.com/watch?v=fr_-vWs8uts&t=272s
















(動物用)(獸醫)
- 寬12.1英寸液晶屏
- 簡單易用的操作鍵盤
- 通過H-res獲得清晰豐富的單色圖像
- 帶有耐用輪的輕型手推車易於操作
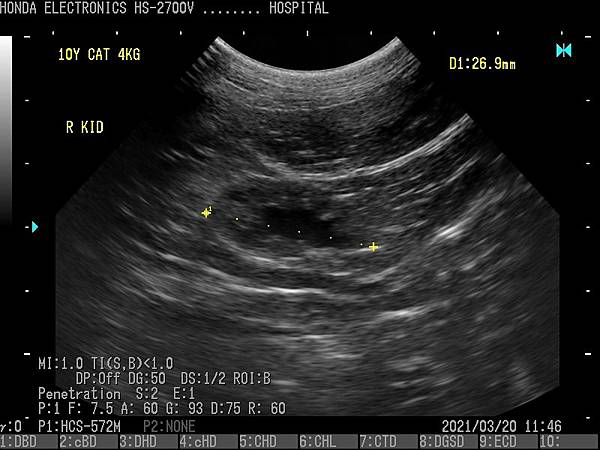
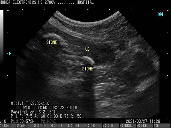
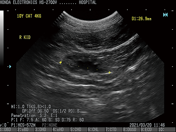
HONDA獨創的圖像增強技術 H-res(我們的分辨率技術)
多年來超聲波技術的發展,結晶為“ H-res”圖像增強技術。
可以通過針對每種應用和探頭調整“ H-res”參數來獲得最佳圖像。
可以通過針對每種應用和探頭調整“ H-res”參數來獲得最佳圖像。
* 分辨率可在較淺的區域可視化精細的組織結構。* 穿透力可以在更深的器官中顯現出良好的分辨率。* 邊界可視化骨骼以進行觀察。* 清晰度降低了血管中的噪音。* 溫和會降低圖像增強效果。* OFF具有直接的超聲圖像。
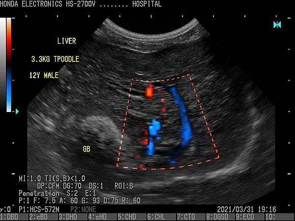
HS-2700支持CFM(彩色血流向)和PD(功率杜普勒)模式。
它們將適應廣泛的醫療應用。
文件和靜止圖像可以存儲到USB存儲器中,並可以在個人計算機中訪問。大約 100張圖像存儲在系統存儲器中。
【營業時間】0 8:3 01 7:3 0 (星期六、日公休)
【交通資訊】中投快速道路接五權南路往市區方向 高工路右轉接到大里大明路國光路口右側富山世貿大樓即可到達
聯絡地址:臺中市大里區大明路391號 8樓(大買家對面)
依衛生福利部規定醫療儀器嚴禁網路銷售,如有規格需求請來電詢問
服務專線電話:0928680812
Line ID :tsunglung
文章標籤
全站熱搜
